Neuroblog

Clinical neurology blog.

Sunday, December 21, 2025

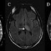
Bilateral Anterior Cerebral Artery Strokes

›
Some Embolic strokes of undetermined origin (ESUS) are extremely rare. That is the case of a patient with multiple vascular risk factors who...
Monday, December 8, 2025

The importance of gait and steadiness assessment

›
  In patients presenting with acute or subacute neurological deterioration, the physical examination may be nonspecific, being essential, wh...
Saturday, February 4, 2023

Rheumatoid meningitis

›
There must be some epitope in the connective tissue of the falx cerebri to justify the characteristic radiological pattern seen in some form...
Saturday, October 29, 2022

Meningitis due to CSF fistula of the skull base

›
Some individuals may develop acute meningitis secondary to skull defect between the anterior cranial fossa and the nasal cavity. The presenc...
Sunday, May 13, 2018

Vertigo

›
Vertigo 
1 comment:
Saturday, January 20, 2018

Thalamic hyperintensity in seizure stroke mimic.

›
Acute aphasia is one of the most common forms of presentation of stroke mimics. Many times those patients are having seizures. Wh...
Sunday, November 13, 2016

Hipertrofia olivar degenerativa secundaria a ictus isquémico

›
La degeneración olivar hipetrófica es una variedad peculiar de degeneración "transináptica" en la que en vez de atrofia, se pro...
›
Home
View web version

About Me

Francisco Gilo Arrojo
Médico neurólogo
View my complete profile
Powered by Blogger.