
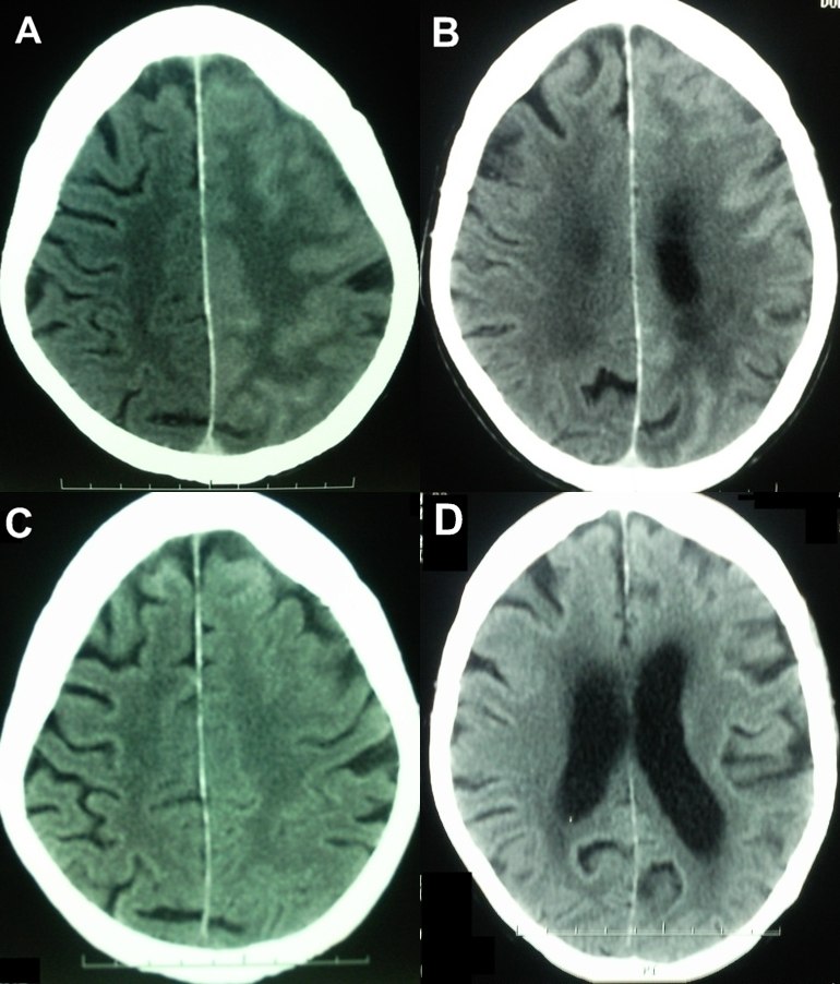
sábado, 4 de diciembre de 2010
Encefalopatía por contraste simulando hemorragia subaracnoidea

sábado, 20 de noviembre de 2010
Neuropatía autonómica autoinmune y Anticuerpos contra la subunidad alfa-3 del Receptor de la Acetilcolina

Imagen tomada de: Kevin Petti, Ph.Biology 160: Human Anatomy & Physiology San Diego Miramar College.
Hay pacientes que pueden presentar un cuadro clínico, de instauración por lo general subaguda, consistente en un conjunto síntomas y signos que traducen una disfunción del sistema nervioso autónomo. En el año 2000 se publicó la asociación de algunos de estos cuadros con la presencia de anticuerpos dirigidos contra la subunidad alfa 3 del receptor nicotínico de la acetilcolina. Este tipo de receptores abundan en los ganglios autonómicos, y su bloqueo por los anticuerpos mencionados confiere a los propios anticuerpos un valor patogénico en la enfermedad, como ocurre con los presentes en la miastenia gravis. A diferencia de las motoneuronas espinales, que tras partir del asta anterior llegan directamente al músculo, las neuronas eferentes del sistema nervioso autónomo, después de abandonar el asta intermediolateral medular, o los pares craneales como el vago, realizan una sinapsis antes de llegar al órgano diana. En el caso del sistema nervioso simpático, esta se efectúa por lo general en los ganglios de la cadena simpática paravertebral, mientras que las neuronas parasimpáticas lo hacen en la vecindad, o en el seno de las vísceras. Esta sinapsis entre la neurona preganglionar y la postganglionar es una sinapsis colinérgica en ambos sistemas, simpático y parasimpático (Figura).miércoles, 3 de noviembre de 2010
Amnesia global transitoria y disfunción del hipocampo lateral
La imagen que se muestra abajo corresponde a la resonancia magnética de una mujer de 70 años, que sufrió 72 horas antes una amnesia global transitoria tras un problema doméstico estresante. Se aprecia imagen puntiforme de restricción de la difusión en el hipocampo lateral izquierdo (flecha).

domingo, 26 de septiembre de 2010
Hemorragia cerebral asociada al síndrome de leucoencefalopatía posterior reversible.

Leucoencefalopatía multifocal progresiva en otros contextos, fuera del ámbito de la infección por el VIH.
La evolución clínicorradiológica es por otro lado común, con aparición insidiosa en los pacientes de déficits neurológicos, asociados a lesiones de sustancia blanca, que no suelen realzar tras la administración de contraste.
En las imágenes se muestran dos ejemplos de esta enfermedad, a cuyo diagnóstico se llegó en ambos casos por biopsia cerebral con positividad en los núcleos celulares para el papovirus SV40.

jueves, 27 de mayo de 2010
Microangiopatía cerebral de pequeño vaso y niveles elevados de Lipoproteína A

La imagen que se muestra es la de la resonancia magnética abierta de una paciente de 61 años, en la que se descubre el hallazgo de un daño isquémico microvascular sin que presentara los factores de riesgo vascular clásicos (hipertensión arterial, diabetes, tabaquismo, hipercolesterolemia, obesidad). En una analítica para investigar la causa de estas alteraciones radiológicas se obtuvieron niveles elevados de Lipoproteína A: 83 mg/dL (0-30), a pesar de cifras normales del resto del perfil lipídico, y de homocisteína, otra sustancia cuya determinación se debe solicitar en estos contextos.
La lipoprotenía A es una molécula de estructura similar al plasminógeno, por lo que sus niveles elevados pueden interrumpir la función de esta sustancia, impidiendo la fibrinolisis endógena, y motivando de esta manera un estado protrombótico.
Recientemente asistimos a un varón joven fumador con un Síndrome de Leriche, en el que también se encontraron niveles elevados de esta lipoproteína. En su arteriografía se aprecia oclusión del cabo distal de la aorta y de ambas arterias iliacas con abundante circulación colateral.

Es de interés la determinación de lipoprotenía A en pacientes con enfermedad vascular de causa no filiada, e incluso en aquellos que puedan compartir otros factores de riesgo vascular, dado que existen medidas terapéuticas que son capaces de disminuir sus cifras plasmáticas. Las estatinas no sirven para ello. Tradicionalmente se empleaba con este fin el ácido nicotínico aisladamente, por lo general mal tolerado por sus efectos secundarios, pero actualmente contamos con un fármaco, el laropiprant, que es un antagonista potente y selectivo de los receptores de prostaglandina D2 (PGD2) del subtipo 1 (DP1), para reducir los sofocos inducidos por el ácido nicotínico.
domingo, 14 de marzo de 2010
Leucoencefalopatía vascular isquémico-hemorrágica


A las enfermedades vasculares con alteración de la sustancia blanca subcortical en las pruebas de neuroimagen, se les suelen atribuir el daño que generan en base a mecanismos isquémicos. Es sobre todo la alteración de la pared vascular en las arterias de pequeño calibre a nivel de la microcirculación, la que se implica como principal responsable. Pero estas vasculopatías en las que la pared del vaso está alterada, pueden desencadenar otro tipo de fenómenos, bien de tipo hemorrágico por la propia fragilidad parietal, o también en forma de edema cerebral, por la incapacidad de realizar una adecuada autorregulación a nivel arteriolar. Si se realizan secuencias de resonancia de eco gradiente, veremos que los fenómenos microhemorrágicos son más frecuentes de lo esperado, confiriéndoles a estas enfermedades un daño potencial tanto isquémico como hemorrágico.
Es el caso de diversas leucoencefalopatías vasculares, entre las que se encuentran enfermedades tanto adquiridas, como hereditarias:
Leucoencefalopatía por hipertensión arterial crónica debida a la lipohialinosis y a la formación de aneurismas de Charcot-Bouchard.
Angiopatía amiloide.
CADASIL (hasta un tercio de los pacientes presenta fenómenos hemorrágicos).
Mutaciones en el gen del colágeno tipo IV (COL4A1).
Enfermedad de Fabry.
La presencia de una alta carga lesional hemorrágica, puede decantar la balanza hacia la abstención de pautar medicaciones antitrombóticas en estos pacientes.
sábado, 13 de marzo de 2010
Mioclonias y encefalopatía inducidas por cefalosporinas

viernes, 26 de febrero de 2010
Sala de emergencias neurovasculares

Las diferentes traslaciones de los pacientes durante el ictus agudo son causa permanente de demoras vitales, condicionantes de la viabilidad final del cerebro isquémico. La evolución del ictus en las primeras 12 horas es muy dinámica, y se debe monitorizar con parámetros clínicos y de neuroimagen estática y funcional, que incluyan la evaluación del árbol vascular, el estado del parénquima, y la penumbra isquémica. La concentración en una sala de los medios técnicos y humanos que permitan el abordaje integral del paciente con ictus agudo, permite la atención óptima del enfermo, y la toma de decisiones y actuaciones terapéuticas en función de la evolución del infarto cerebral. Pasada la fase aguda inicial del ictus, y realizado el tratamiento específico reperfusor en las primeras horas, el paciente puede derivarse a la unidad de ictus, para el cuidado de los factores hemodinámicas, e instaurar las medidas generales necesarias que minimicen las potenciales secuelas. Un algoritmo de abordaje, y la dotación que requiere la sala de emergencias neurovasculares, se puede consultar en el siguiente enlace.
Linfoma cerebral primario y formas radiológicas atípicas


Cada vez es más frecuente el diagnóstico de esta entidad en pacientes inmunocompetentes, y la característica localización de las lesiones en áreas periventriculares, con realce homogéneo y desaparición de las mismas con esteroides, deja de ser una norma como presentación radiológica. Se muestran dos casos de linfoma cerebral primario clásico, difusos, de células grandes tipo B (linfomas no Hodgkin), que en la RM craneal y el TC sin contraste se comportan como lesiones parcheadas con escaso efecto masa, de localización corticosubcortical, y que tras la administración de contraste muestran un realce heterogéneo. Clínicamente suelen cursar con déficits neurológicos mixtos, de aparición subaguda, con respuesta parcial al tratamiento con esteroides, y respuesta aún más pobre según avanza la enfermedad si no se trata adecuadamente con quimioterapia +/- radioterapia.
Disección carotídea, déficit de vitamina B12 e hiperhomocisteinemia

En los pacientes con disección carotídea espontánea, o con disecciones asociadas a un trauma menor, es conveniente pedir cifras de vitamina B12 y de homocisteína, pues son muchos los trabajos publicados que encuentran una asociación entre niveles elevados de homocisteína y disección carotídea espontánea. El metabolismo de la vitamina B12 está ligado al de la homocisteína, de tal manera que cifras bajas de B12 se asocian a hiperhomocisteinemia, con lo cual la determinación de B12 puede ser también útil. La homocisteína en dosis elevadas, es capaz de alterar la capa elástica media de las arterias, produciendo una mayor fragilidad de la pared vascular, haciéndola susceptible de su rotura. El mecanismo fisiopatológico se relaciona con la activación de metaloproteasas y de serin-elastasas, que disminuyen la cantidad de elastina en la capa media. El interés de identificar este estado protrombótico radica en que con complejos vitamínicos (vitamina B1 B6 B12 y ácido fólico), se pueden bajar las cifras de homocisteína, modificando pues la mayor susceptibilidad para la rotura de la pared arterial.

